INDIREKTNO PREKRIVANJE PULPE - Bio-Bulk Fill tehnika i Bulk&Go

Dr Vincenzo Tosco
Diplomirao stomatologiju na Univerzitetu Alfonso X el Sabio u Madridu, Španija. Doktorirao biomedicinske nauke na Univerzitetu Politecnica delle Marche u Ankoni, Italija. Tenutno istraživač na istom Univerzitetu, pod mentorstvom profesora Anđela Putinjana (Angelo Putignano) i Đovane Orsini (Giovanna Orsini). Glavne aktivnosti dr Vincenza obuhvataju endodonciju, restaurativnu i estetsku stomatologiju. Nakon diplomiranja, učestvovao je u sprovođenju savremenih naučnih istraživanja, sa ciljem razvoja novih procedura, posebno osmišljenih radi unapređenja terapijskih ishoda. Ovakav translacioni pristup omogućio mu je primenu pojednostavljenih tehnika i detaljno razumevanje karakteristika različitih materijala. Na stručnim predavanjima i radionicama, sa zadovoljstvom prikazuje rezultate istraživačkog rada kako bi pružio predvidive, ponovljive i visokokvalitetne rezultate, u cilju unapređenja svih mogućih terapijskih postupaka za pacijente.
Koliko dugo koristite Biodentine™?
U svojoj kliničkoj praksi koristim Biodentine™ već duži vremenski period, približno šest do sedam godina. Nakon što se Biodentine™ XP pojavio na tržištu, ove godine sam prešao na upotrebu ove nove formulacije.
Zašto primenjujete Bio-Bulk Fill tehniku sa Biodentine™? Koje su njene glavne prednosti za vas?
Ova tehnika omogućava kliničarima da pojednostave izradu direktnih bočnih restauracija, uključujući i indirektno i direktno prekrivanje pulpe, koristeći bioaktivni materijal poput
Biodentine™ XP kao zamenu za dentin. Postavljanje zaštitne barijere preko eksponirane ili neeksponirane pulpe stimuliše formiranje dentinskog mosta i održava njenu vitalnost i
funkciju. Kombinacija Biodentine™ XP i kompozitne smole obezbeđuje predvidiv i bezbedan terapijski ishod, omogućavajući očuvanje vitaliteta pulpe u jednoj poseti.
Kada i u kojim slučajevima koristite Bio-Bulk Fill tehniku?
Uglavnom je primenjujem u veoma dubokim kavitetima kao zaštitnu podlogu, kao i u terapiji vitalne pulpe, i to kako kod indirektnog, tako i kod direktnog prekrivanja pulpe.
Sažetak
Uvod
Ovaj klinički slučaj prikazuje osnovne principe Bio-Bulk Fill tehnike za indirektno prekrivanje pulpe, koristeći materijal Biodentine™ XP za nadoknadu dentina, u restauraciji duboke
karijesne lezije. Pacijentkinja Federika, stara 37 godina, žalila se na blagu osetljivost u predelu donjih levih molara. Kliničkim pregledom ustanovljena je karijesna lezija na prvom molaru, kao i stara kompozitna restauracija bez okluzalne morfologije na drugom. Zub je bio pozitivni na test vitaliteta, a negativan na perkusiju. Radiografski pregled nije pokazao prisustvo parodontalnih lezija.
Metode
Oba kaviteta su preparisana sa borerima visoke i niske brzine, kao i vanadijumskim ekskavatorom. Indirektno prekrivanje pulpe potom je izvedeno na drugom molaru primenom
Biodentine™ XP, pri čemu je kavitet ispunjen do nivoa 1.5 mm ispod okluzalne površine. Nakon 15 minuta, koliko je potrebno da materijal očvrsne, kavitet klase II preveden je u
kavitet klase I i sprovedene su adhezivne procedure. Zatim je nanet kompozit u „body” nijansi uz primenu „Essential Lines“ tehnike modelovanja za završetak direktne restauracije. Na kraju je restauriran prvi molar korišćenjem Bulk&Go postupka u kombinaciji sa „Essential Lines“ tehnikom.
Diskusija
Biodentine™ je dobro istražen materijal na bazi trikalcijum-silikata, koji je pokazao biokompatibilnost i bioaktivnost u in vitro i in vivo uslovima. Pretkliničke studije ukazale su na
njegove mehanizme interakcije sa tvrdim zubnim tkivima. Utvrđeno je da Biodentine™ formira zaštitni sloj koji sprečava bakterijsku kontaminaciju i time štiti dentalnu pulpu. Ovo
postiže mikromehaničkom retencijom u dentinskim tubulima a takođe podstiče i formiranje tercijarnog dentina, što dodatno poboljšava zaštitu pulpe.
Takođe smanjuje ekspresiju i funkciju receptora za bol, što rezultira odsustvom postoperativnog bola i preosetljivosti. Dejstvom na odontoblaste smanjuje proinflamatornu
sekreciju i time ublažava inflamatorni odgovor. Ovi nalazi ukazuju na povoljne efekte Biodentine™ na tvrda i meka zubna tkiva i potvrđuju njegovu pogodnost za upotrebu u
različitim stomatološkim procedurama.
Zaključak
Naučna zajednica, potkrepljena in vitro i in vivo studijama i kliničkim izveštajima, potvrđuje da je Biodentine™ biokompatibilan, poseduje dobra mehanička svojstva i može se bezbedno koristiti u restaurativnoj stomatologiji. Ne zahteva dodatne postupke kondicioniranja dentina a može se i preparisati, slično prirodnom dentinu.
Zahvaljujući tim osobinama, može se koristiti kao bulk zamena za trajni dentin u cilju nadoknade celokupnog izgubljenog dentina, dakle i za indirektno prekrivanje pulpe, a ne
samo kao materijal za direktno prekrivanje pulpe. Površina Biodentine™ može se bondirati kao prirodni dentin, različitim adhezivima pre nanošenja kompozitnih materijala.
UVOD
Danas su bulk-fill kompoziti među najčešće korišćenim materijalima na bazi smole za restauraciju bočnih zuba. Mogu se postavljati i polimerizovati u slojevima debljine do 4–5
mm, čime se eliminiše potreba za slojevitim postavljanjem, skraćuje se klinički postupak i pojednostavljuje manipulacija materijalima. Pored toga, uvođenje biokeramičkih materijala visokih performansi za nadoknadu dentina, omogućilo je njihovu primenu za ispunjavanje dubokih kaviteta bulk-fill materijalima. Ovaj klinički slučaj prikazuje dve direktne restauracije u posteriornoj regiji: jednu zasnovanu na Bulk&Go tehnici koju je predložio Style Italiano, i drugu zasnovanu na Bio-Bulk Fill tehnici.
Bulk&Go tehnika u potpunosti koristi povoljne hemijsko-fizičke karakteristike visokoviskoznih bulk-fill materijala kako bi omogućila izvođenje restauracije u jednom koraku. Pod uslovom da dubina kaviteta ne prelazi 4 mm, restauracija se može izvesti sa jednim jedinim slojem kompozita. Bio-Bulk Fill tehnika predstavlja postupak u dva koraka, zasnovan na postavljanju prvog sloja biokeramičkog materijala koji deluje kao zamena za dentin, umesto upotrebe bulk-fill materijala. Drugi, pokrivajući sloj čini kompozit sličan gleđi, poput kompozita u „Body Shade“ nijansi, sa niskom translucencijom.
KLINIČKI SLUČAJ
Klinički znaci i simptomi
Mlada pacijentkinja se žalila na blagu osetljivost u predelu donjih levih molara. Kliničkim pregledom ustanovljena je karijesna lezija na prvom molaru i stara kompozitna restauracija bez očuvane okluzalne morfologije na drugom. Zubi su bili pozitivni na test vitaliteta, a negativni na perkusiju. Radiografski pregled nije pokazao prisustvo parodontalnih lezija.
Dijagnoza
Na oba molara bila je prisutna karijesna lezija, s primarnim karijesom na prvom molaru i sekundarnim karijesnim lezijama na drugom molaru.
Postupak i terapija
Koferdam je postavljen radi izolacije dva molara pre početka terapije (Sl. 02). Nakon otvaranja kaviteta, karijesne lezije su najpre uklonjene uz pomoć rotirajućih instrumenata
visoke brzine, a zatim i ručnim instrumentima, poput vanadijumskih ekskavatora. Nakon uklanjanja celokupnog inficiranog dentina, formirani su kavitet klase I na prvom molaru i
klase II na drugom (Sl. 03). Na drugom molaru postavljena je segmentna metalna matrica sa klinom i prstenom kako bi se kavitet klase II preveo u kavitet klase I (Sl. 04).
Provereno je naleganje matrice na margini kaviteta i potvrđeno je formiranje adekvatne kontaktne tačke (Sl. 05). Nakon toga, biomaterijal Biodentine™ XP je aplikovan u kavitet u jednom sloju, do nivoa 1.5 mm ispod okluzalne površine, čime je ostavljen prostor za završni sloj kompozita u nijansi gleđi. Materijal je ostavljen da očvrsne 15 minuta pre sprovođenja adhezivne procedure (Sl.06). Mezijalna marginalna ivica kaviteta ostavljena je slobodnom radi izgradnje mezijalnog zida kompozitom, čime se kavitet klase II transformiše u kavitet klase I (Sl. 07). Zatim je selektivno nagrizana gleđ tokom 20 sekundi (Sl. 08). Nakon toga, napravljen je mezijalni zid drugog molara, što je omogućilo restauraciju oba kaviteta klase I (Sl. 09).

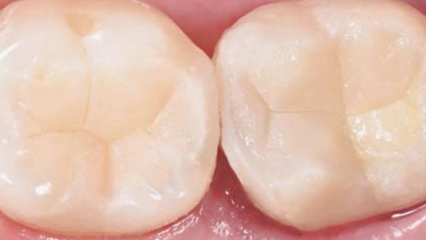
Na prvom molaru primenjena je Bulk&Go tehnika, dok je na drugom molaru završni sloj kompozita u nijansi gleđi postavljen korišćenjem kompozita „Body Shade“. Za modelovanje je korišćena „Essential Lines“ tehnika (Sl. 10). Nakon ispunjavanja kaviteta i kondenzacije kompozita, ucrtane su esencijalne linije radi reprodukcije okluzalne anatomije svakog posteriornog zuba (Sl. 11). Obe restauracije su zatim finiširane i polirane (Sl. 12). Kontrolni rendgenski snimak prikazuje različiti stepen radiopaknosti bulk-fill materijala i Biodentine™ XP. Takođe je potvrđeno da je ceo kavitet pravilno ispunjen, bez prisustva praznina ili defekata unutar restauracija.

Praćenje
Nakon devet meseci, nisu uočeni radiografski znaci parodontalnih lezija, a pacijentkinja nije prijavila nikakve simptome (Sl. 13).
DISKUSIJA
Biodentine™ je korišćen kao „bulk restaurativni materijal u dubokim kavitetima za nadoknadu dentina. Biodentine™ je jednostavan za manipulaciju i pokazuje dobru marginalnu adaptaciju. Kada se prekrije kompozitnim smolastim materijalom, predstavlja dobro podnošljiv trajni supstitut dentina. Pored toga, Biodentine™ se može preparisati i
oblikovati slično prirodnom dentinu. U ovom slučaju, pacijentkinja je takođe prijavila odsustvo postoperativnog bola i postoperativne preosetljivosti. Ovo se može objasniti sa
najmanje dva faktora:
1. Infiltracija Biodentine™ u dentinske tubule. Precipitacija kristala unutar tubula smanjuje njihovu permeabilnost i kretanje tečnosti, što može smanjiti postoperativnu
osetljivost.
2. Smanjena ekspresija i funkcija receptora za bol na odontoblastima, kao i redukcija
sekrecije proinflamatornih citokina.

ZAKLJUČAK
Biodentine™ ima širok spektar primena. Smatra se odličnom zamenom dentina zbog svojih sličnih fizičko-mehaničkih karakteristika i može se koristiti za ispunjavanje kaviteta do nivoa 1.5 mm ispod okluzalne površine u „bulk” tehnici, prema Bio-Bulk Fill protokolu. Kombinacija Biodentine™ za restauraciju kaviteta i „Essential Lines“ tehnike za modelovanje okluzalne površine pojednostavljuje postupak i štedi vreme u izradi direktnih posteriornih restauracija.