Svestranost u restaurativnoj stomatologiji: Bulk-Fill i kombinovana tehnika
Prof. Angelo Putignano
• Diplomirao medicinu (M.D.) i završio postdiplomske studije iz stomatologije (D.D.S.) na Univerzitetu u Ankoni, Italija
• Redovni profesor na predmetu Restaurativna stomatologija na Stomatološkom fakultetu Politehničkog univerziteta Marke – Ankona, Italija
• Rukovodilac Katedre za operativnu stomatologiju i endodonciju na Stomatološkom fakultetu Politehničkog univerziteta Marke – Ankona, Italija
• Dekan Škole za dentalne higijeničare na Politehničkom univerzitetu Marke – Ankona, Italija
• Aktivni član Italijanskog društva za operativnu stomatologiju (SIDOC)
• Osnivač Italijanske akademije estetske stomatologije (IAED)
• Aktivni član Evropske akademije estetske stomatologije (EAED)
• Privatna praksa ograničena na restaurativnu stomatologiju u Ankoni, Italija
• Koautor knjige „Adhezivna stomatologija: ključ uspeha“, u izdanju Quintessence International
• Koautor knjige „Indirektne konzervativne restauracije posteriornih zuba“ (UTET, 2008)
• Profesor Putignano drži međunarodna predavanja iz oblasti adhezivne i estetske stomatologije
Bulk-Fill kompoziti nude brojne prednosti kada su u pitanju direktne restaurcije, uključujući smanjen polimerizacioni stres, olakšana slojevita aplikacija i efikasno rukovanje materijalom. Za indirektne restauracije, kombinovana tehnika omogućava uklanjanje viška cementa, obezbeđujući otpimalno marginalno naleganje nadoknade. Ovaj klinički slučaj naglašava svestranost bulk-fill materijala i za direktne i za indirektne restaurativne procedure, demonstrirajući njihovu efikasnost u postizanju optimalnih funkcionalnih i estetskih rezultata uz istovremeno pojednostavljenje terapijskih protokola.
Slika 1. Inicijalna klinička situacija. Kod pacijenta se uočavaju neadekvatni ispuni u gornjem desnom kvadrantu koji zahtevaju zamenu adekvatnim restaurativnim tretmanima. Konkretno, uočavaju se stari amalgamski ispuni na gornjim desnim molarima kao i preekstendirani, neestetski kompozitni ispun na gornjem drugom desnom premolaru.
Slika 2. Postavljen je koferdam i uklonjen je stari amalgamski ispun na gornjem prvom desnom molaru.
Slika 3. Nakon uklanjanja amalgamskog ispuna uočava se sklerotični dentin sa značajnom oksidacijom.
Slika 4. Nakon čišćenja kaviteta, uočava se sklerotični dentin. S obzirom da je zub bio kompromitovan, ali sa očuvanom perifernom gleđnom ivicom, indirektna restauracija (overlay) je indikovana.
Slika 5. Izvršeno je trenutno zaptivanje dentina (Immediate Dentin Sealing - IDS) korišćenjem SimpliShade bulk-fill flow kompozita.
Slika 6. Uzet je analogni otisak, osiguravajući adekvatno otiskivanje svih marginalnih ivica.
Slika 7. Kada je indirektna restaurativna nadoknada bila gotova, pacijent se ponovo javio radi cementiranja nadoknade na prvom molaru, kao i za izradu direktnih restauracija na preostala dva zuba.
Slika 8. Površina zuba je obrađena vazdušnom abrazijom pomoću uređaja AcquaCare (Velopex International, London, UK) sa 50 μm aluminijum oksidom, u skladu sa Style Italiano protokolom.
Slika 9. Čista površina zuba spremna za fazu cementiranja. Susedni zubi su prekriveni i zastićeni teflon trakom, tokom svake faze cementiranja.
Slika 10. OptiBond Universal (Kerr) je aplikovan i utapkavan u trajanju od 20 sekundi, nakon čega je sledilo sušenje vazduhom u istom trajanju kako bi se formirao tanak i ujednačen sloj. Adheziv je potom fotopolimerizovan u trajanju od 40 sekundi, čime je obezbeđena optimalna adhezivna efikasnost.
Slika 11. Izrađeni overlay je kondicioniran prema sledećem protokolu. Najpre je naneta 9% fluorovodonična kiselina u trajanju od 20 sekundi, nakon čega je isprana. Radi obezbeđivanja čiste unutrašnje površine i uklanjanja ostataka, dodatno je sprovedena obrada 37% fosfornom kiselinom u trajanju od jednog minuta. Silan je zatim nanet četkicom i osušen vazduhom kako bi se omogućilo isparavanje alkohola.
Slika 12. Za cementiranje je odabrana Kombinovana tehnika kako bi se obezbedilo efikasno uklanjanje viška cementa. Visoko-viskozni SimpliShade Bulk-fill kompozit (Kerr) je aplikovan na proksimalnim i bukalnim ivicama kaviteta, a zatim je NX3 Universal Adhesive Resin cement (Kerr) nanet na ostale površine preparisanog kaviteta.
Slika 13. Višak kompozitnog materijala iz interproksimalnog regiona je uklonjen korišćenjem LM Fissura instrumenta.
Slika 14. Nakon cementiranja overlay-a, preparisana su dva kaviteta na preostalim bočnim zubima, kavitet I klase na drugom molaru i kavitet II klase na drugom premolaru.
Slika 15. Postavljanje sekcione matrice omogućava pretvaranje kaviteta II klase u kavitet I klase. Pomoću drvenog interdentalnog kočića i prstena omogućeno je adekvatno adaptiranje matrice.
Slika 16. Distalni zid je rekonstruisan korišćenjem SimpliShade Bulk-fill kompozita.
Slika 17. Kavitet I klase je rekonstruisan jednim slojem bulk-fill kompozita, nakon čega je uklonjen višak kompozita. Zatim je modelovana okluzalna površina.
Slika 18. Zahvaljujući lakom rukovanju i malom torzionom stresu, bilo je moguće ispuniti oba kaviteta u jednom aktu nanošenja kompozita.
Slika 19. Kompozitni materijal je zatim adaptiran i oblikovan na okluzalnoj površini korišćenjem „Espresso posterior lines“ tehnike, štedeći vreme.
Slika 20. Direktne restauracije su odrađene korišćenjem jedne jedine nijanse SimpliShade Bulk-fill kompozita, uz dodatak braon efekta u fisurama i jamicama.
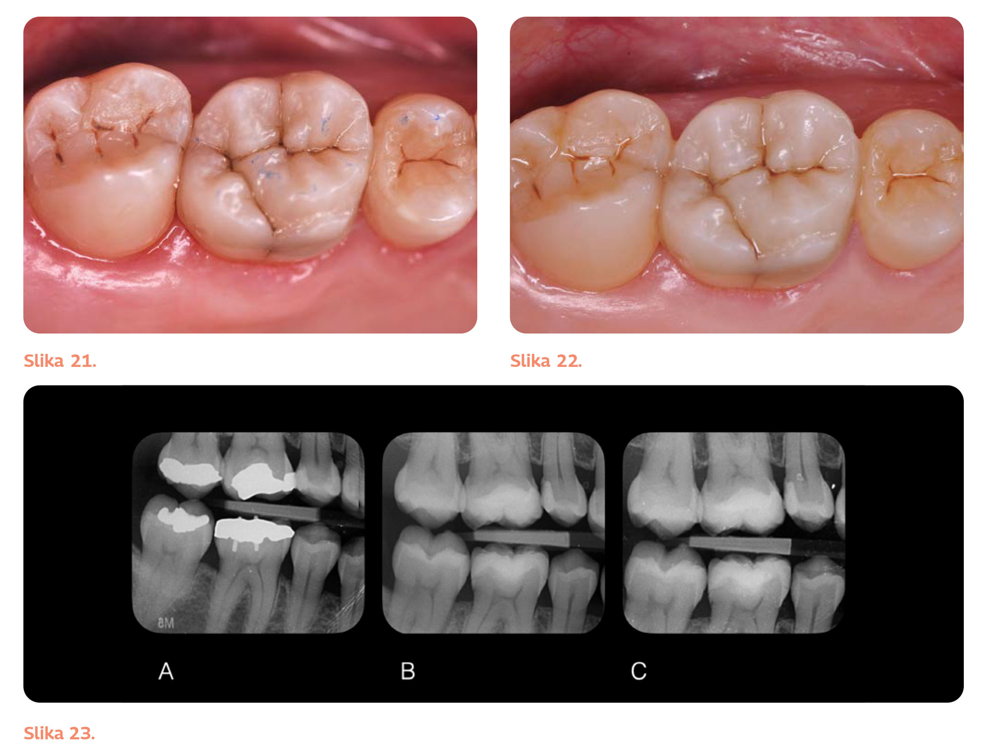
Slika 21. Izvršene su okluzalne korekcije radi postizanja funkcionalnog i estetskog rezultata.
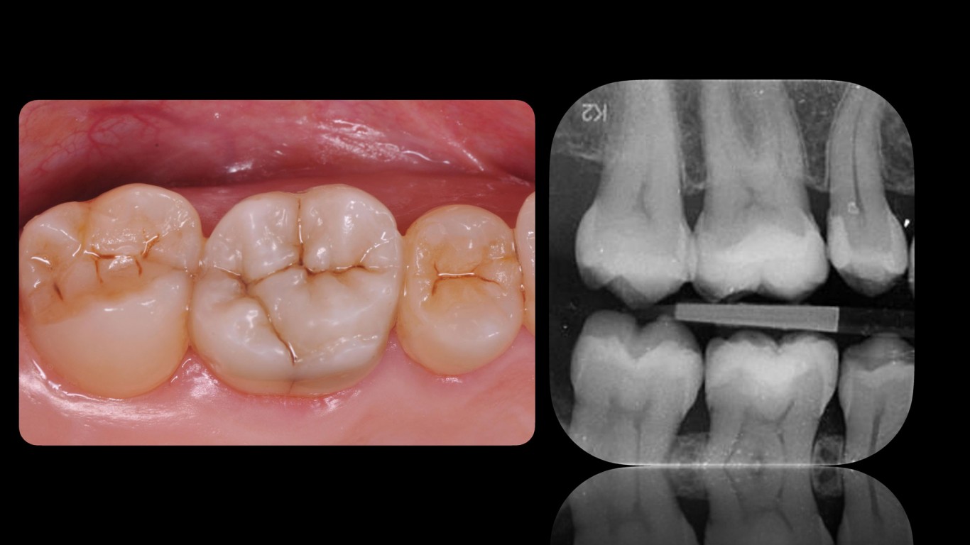
Slika 22. Finalni rezultat godinu dana nakon restaurativnog tretmana.
Slika 23. Radiografski snimci pre (A), nakon tretmana (B) i godinu dana nakon tretmana (C).
Zaključak
Ovaj prikaz kliničkog slučaja prikazuje svestranost bulk-fill kompozita i Combo tehniku. Njihova primena pojednostavljuje izradu i direktnih i indirektnih restauracija, obezbeđujući efikasnost, predvidljivost, i odlične kliničke rezultate. Ovi pristupi pojednostavljuju tretmane, istovremeno održavajući visoke standarde funkcionalnosti i estetike.
Literatura:
1. Chiodera G, Monterubbianesi R, Tosco V, Papini O, Orsini G, Putignano A. Application of Bulk-Fill Composite to Simplify the Cementation of Indirect Restorations: The COMBO Technique. Dent J (Basel). 2024 Jul 29;12(8):239. doi: 10.3390/dj12080239. PMID: 39195083; PMCID: PMC11352567.
2. Putignano A, Tosco V, Monterubbianesi R, Vitiello F, Gatto ML, Furlani M, Giuliani A, Orsini G. Comparison of three different bulk-filling techniques for restoring class II cavities: μCT, SEM-EDS combined analyses for margins and internal fit assessments. J Mech Behav Biomed Mater. 2021 Dec;124:104812. doi: 10.1016/j.jmbbm.2021.104812. Epub 2021 Sep 3. PMID: 34500356.
3. Refaey HS, Abdelkader SH, Aly YM. Fracture resistance and marginal fit of three different overlay designs using advanced zirconiareinforced lithium disilicate CAD/CAM material. BMC Oral Health. 2025 Jan 4;25(1):20. doi: 10.1186/s12903-024-05315-1. PMID: 39755589; PMCID: PMC11699763.
4. Hardan L, Devoto W, Bourgi R, Cuevas-Suárez CE, Lukomska-Szymanska M, Fernández-Barrera MÁ, Cornejo-Ríos E, Monteiro P, Zarow M, Jakubowicz N, Mancino D, Haikel Y, Kharouf N. Immediate Dentin Sealing for Adhesive Cementation of Indirect Restorations: A Systematic Review and Meta-Analysis. Gels. 2022 Mar 11;8(3):175. doi: 10.3390/gels8030175. PMID: 35323288; PMCID: PMC8955250.
MKT-25-0086 Rev-0
Napomena o odricanju odgovornosti: Prof. Angelo Putignano je konsultant kompanije Kerr. Mišljenja i tehnike izložene u ovom članku zasnovane su na iskustvu Prof. Angelo Putignano. Kerr je proizvođač medicinskih uređaja i ne daje medicinske savete. Kliničari bi trebalo da koriste sopstvenu stručnu procenu pri lečenju svojih pacijenata. Svi žigovi i robne marke su u vlasništvu svojih odgovarajućih vlasnika.