Zamena starog kompozita i direktna restauracija kaviteta klase II na stalnom molaru

Postupak/Studija:
Dr Marina Papachroni
Patra – Grčka
Marina Papachroni je diplomirala 1995. godine na Stomatološkom fakultetu Univerziteta u Atini. Završila je trogodišnji postdiplomski program i 1999. godine je stekla zvanje specijalista dečije stomatologije, dok je 2001. godine završila i dvogodišnje master studije iz dentalnih materijala na istom Univerzitetu. Nakon toga, pohađala je brojne kongrese, kurseve i programe kontinuirane edukacije. Trezorer je Upravnog odbora Helenske akademije kliničke stomatologije i član Helenskog društva za dečiju stomatologiju, Evropske akademije dečije stomatologije i Međunarodnog udruženja za dečiju stomatologiju. U poslednje vreme drži predavanja o bioaktivnim materijalima, restaurativnoj dečijoj stomatologiji i terapiji pulpe mlečnih zuba. Trenutni fokus njenog kliničkog istraživanja su bioaktivni restaurativni materijali. Dr Papachroni vodi privatnu praksu u Patri, Grčka, sa posebnim akcentom na estetsku i mikroskopsku dečiju stomatologiju.
PRIKAZ SLUČAJA
Mladi pacijent je upućen na pregled zbog zamene starog kompozitnog ispuna i prisustva karijesne lezije na aproksimalnoj površini molara 36. Na narednim slikama prikazan je postupak direktne kompozitne restauracije korak po korak, korišćenjem seta myQuickmat Forte (Polydentia) u kombinaciji sa nastavcima myTines Small i myTines Medium (Polydentia).
myTines Small predstavljaju izuzetno korisne alate prilikom restauracije kaviteta kod mladih stalnih zuba sa kratkim kliničkim krunicama.
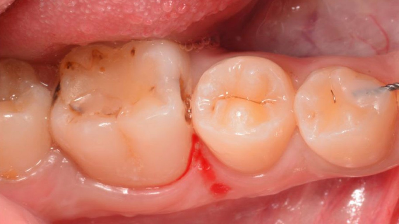
01 Inicijalnim pregledom se uočavaju stari kompozitni ispun i karijesna lezija na molaru 36.
02 Izolovan zub.
03 Kavitet nakon uklanjanja karijesa i dezinfekcije.
04 Pre rekonstrukcije mezijalnog aproksimalnog zida, na zub je postavljen myRing Forte u kombinaciji sa dva različita nastavka. Zbog blage lingvalne inklinacije molara 36, myTines Small (ljubičasti) korišćen je sa lingvalne strane, dok je myTines Medium (plavi) postavljen bukalno.

05 Nakon nagrizanja kiselinom i nanošenja adheziva, pristupilo se slojevanju kompozita koji je fotopolimerizovan.
06 Zub 36 nakon rekonstrukcije oba proksimalna zida a pre rekonstrukcije okluzalne površine
07 Zub 36 nakon restauracije okluzalne površine a pre finiširanja i poliranja
08 Izgled zuba nakon restauracije

ZAKLJUČAK
Prilagođavanje sekcionih matrica korišćenjem različitih nastavaka na istom separacionom prstenu omogućava poboljšanu stabilnost prstena, čak i kod bočnih zuba sa nagibom uzdužne osovine zuba. Ova karakteristika koju nudi myQuickmat Forte sekcioni sistem matrica (Polydentia) rezultira restauracijama koje izgledaju prirodno i funkcionalno su adekvatne.